- contentwriter
- 0 Comments
جدول المحتويات
- ما هي الحشوات التجميلية؟
- الفرق بين الحشوات العادية والتجميلية
- هل تكون الحشوات التجميلية ذات مظهر طبيعي؟
- ما هي أفضل انواع حشوات الاسنان؟
- استخدامات الحشوات التجميلية
- متى يحتاج سنك إلى الحشوات التجميلية؟
- مراحل الحصول على الحشوات التجميلية
- الأكل بعد الحشوات التجميلية
- هل تسقط الحشوات التجميلية؟
- علامات ضرورة تبديل الحشوة التجميلية
- عمر الحشوات التجميلية مقارنة بالحشوات العادية
- هل يتغير لون الحشوات التجميلية؟
- تعليمات للاعتناء بالحشوات التجميلية
لطالما فكرت بالحصول على أفضل وأبهى ابتسامة وأجملها، واختيارك للحشوات التجميلية المتطورة سيمنحك العديد من الميزات، تعرف عن كل ذلك وأكثر في هذا المقال
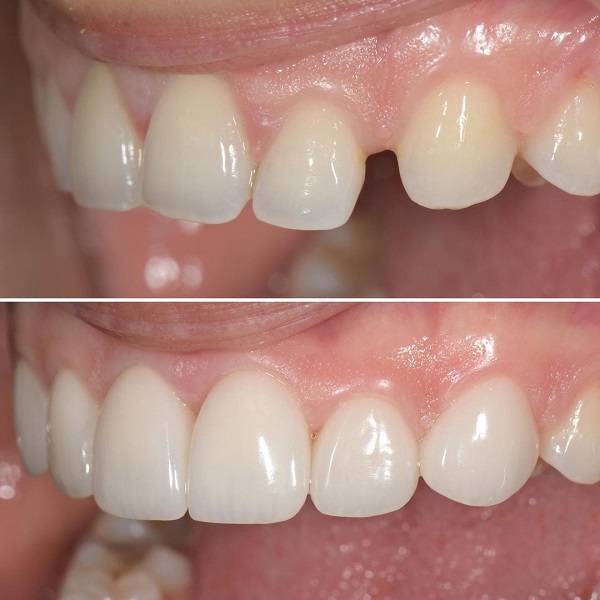
ما هي الحشوات التجميلية؟
- الحشوات التجميلية نوع من حشوات الأسنان تساعدك في الحصول على ابتسامة مثالية، وتتميز بنفس لون الأسنان الطبيعية بكل درجاتها
- الحشوات التجميلية كانت تستخدم سابقاً للأسنان الأمامية فقط، ومع التقدم الطبي التكنولوجي وتطور تقنيات تركيبات الاسنان، حصلنا على حشوات تجميلية متينة للغاية ومقاومة لقوة المضغ وأصبحت الآن مناسبة للاستخدام في جميع الأسنان
الفرق بين الحشوات العادية والتجميلية
- يختلف عمر ومدة بقاء كل نوع من الحشوات حسب المواد المصنعة منها وكيفية تحملها لطبيعة فمك ووظائف أسنانك في مختلف الوظائف التي تقوم بها داخل فمك
- الحشو العادي يكون لونه داكن ومظهره غير مشابه للأسنان الطبيعية، كما يحتاج حفر كبيرة للحشو ويسبب تصبغات للسن بمرور الوقت،
إليك أبرز أنواع الحشوات العادية الدائمة للأسنان المستخدمة في عيادات طب الأسنان
حشوات الخلائط المعدنية:
- تصنع بتركيبة محددة من خليط من الفضة ومعادن أخرى مثل القصدير والزئبق والنحاس
- تعد من أنواع الحشوات المتينة والقوية التي تستخدم عادة للأضراس الخلفية لأن وظيفتها العملية تغلب على وظيفتها الجمالية حيث تتمتع بلون فضي
الحشوات الذهبية:
- تتكون الحشوات الذهبية من مزيج من الذهب بشكل أساسي إضافة للنحاس ومعادن أخرى
- تعد حشوات الأسنان الذهبية أقوى وأفضل أنواع حشوات الأسنان إلا أنها الأعلى تكلفة
أهم أنواع الحشوات الدائمة التجميلية للأسنان في عيادات طب الأسنان
الحشوات المركبة التجميلية:
- تتميز هذه الحشوات بتنوع درجات ألوانها الفاتحة والمشابهة لجميع ألوان الأسنان الطبيعية
- تصنع من مواد راتنجية محسنة ونقية، تكون هذه الحشوات لينة عند وضعها في حفرة الأسنان، ومن ثم يقوم الطبيب بتشكيلها وتعديلها وينتهي بتسليط ضوء أزرق عليها لتصبح صلبة
حشوات البورسلين:
- تصنع هذه الحشوات من الخزف الذي يتميز بمظهره الجمالي ومحاكاته للون أسنانك الطبيعي
- تؤخذ قياسات حفرة السن ليقوم مخبر الأسنان بصنعها بشكل مطابق للجزء المفقود من سنك ويقوم الطبيب بتثبيتها إلى سنك لتعيد له مظهره الجميل ووظيفته كاملة
الحشوات الزجاجية المقوّاة
- عادة ما يستخدم طبيب الأسنان هذا النوع من حشوة الأسنان عند علاج الأسنان اللبنية
- لها بعض الإضافات حيث أن هذ النوع من الحشوات يطلق مادة الفلورايد لحماية السن من التسوس
- تتمتع بلون مشابه للأسنان الطبيعية لكنها أقل متانة من الحشوات المركبة والدائمة الأخرى
الاختيار بين مختلف أنواع حشوات الاسنان في النهاية يكون على حسب تقدير الطبيب لحالة الضرر أو التسوس الذي أصاب السن
هل تكون الحشوات التجميلية ذات مظهر طبيعي؟
- من أهم مميزات الحشوات التجميلية أنها مصنعة حسب درجات ألوان الأسنان من الأبيض الناصع إلى اللون العاجي الداكن
- بهذا فالحشوات التجميلية تناسب أسنان جميع الأشخاص كباراً وصغاراً، وتتمتع بقوة كافية لتدوم طيلة عمرها الافتراضي إذا تم الاعتناء بها جيداً
- يتحقق كل ذلك بذهابك للعيادة الاختصاصية للحصول على أفضل أنواع الحشوات التجميلية وتطبيقها بالشكل الأمثل
ما هي أفضل أنواع حشوات الاسنان؟
- يعتمد أفضل نوع من الحشوات الدائمة على الغرض من استخدامه في أسنانك ومميزات وعيوب كل حشوة، فالنوع المناسب لأسنانك وفمك هو النوع الأفضل لك
- تعتبر الحشوات المركبة (الكومبوزيت) أفضل أنواع الحشوات التجميلية، لسرعة الحصول عليها في العيادة الاختصاصية وتعدد استخداماتها في حل مشكلات أسنانك
استخدامات الحشوات التجميلية
تبرز الحشوات التجميلية بتعدد استخداماتها لعلاج أسنانك إليك أهم المشاكل التي يمكن لطبيبك الخاص حلها بتطبيق الحشوات التجميلية المناسبة:
- حالات كسر الأسنان
- تسوس الاسنان بشكليه الصغير والواسع
- إغلاق الفراغات غير المرغوبة وغير الطبيعية بين الأسنان
- تجميل الابتسامة والأسنان الأمامية عن طريق
- إطالة الأسنان وتغيير شكلها
- تحسين مظهر الأسنان المتكسرة أو المتشققة
- علاج الأسنان المتصبغة بشكل دائم والتي لا يمكن تبييضها بالطرائق العلاجية الأخرى
متى يحتاج سنك إلى الحشوات التجميلية؟
- تتعرض أسنانك للتلف نتيجة لعدة عوامل، مثل التسوس والكسور والتآكل الناتج عن سوء العناية بالأسنان، هنا يأتي دور حشوات الاسنان في إصلاح التلف والحفاظ على صحة الفم والأسنان
- يأتي دور الحشوات التجميلية بكامل فعاليتها عند نجاحها بحل مشكلة سنك وحمايته من الأضرار مستقبلاً، من دون أي تغيير في شكل أسنانك
مراحل الحصول على الحشوات التجميلية
ما يميز الحشوات التجميلية أنه يمكن إجراء حشوة الاسنان في وقت قصير وبمنتهى الدقة في عيادة طب الأسنان الاختصاصية
اليك كيف تتم عملية حصولك على الحشوة المركبة التجميلية
- أول خطوة هي تشخيص الطبيب لوجود الضرر في أسنانك وإمكانية إصلاحه باستخدام الحشوة المركبة التجميلية
- ثم يقوم الطبيب بتنظيف الضرس جيداً من التسوس وهذا العمل بالطبع تحت تأثير التخدير الموضعي فلن تشعر بأي ألم أثناء الإجراء بأكمله
- يطبق الطبيب مواد تحمي اللب ويبدأ بتشكيل الحشوة المركبة بكميات صغيرة داخل حفرة السن ليعيد سنك المتضرر إلى شكله وحجمه المناسب
- تكون الحشوة المركبة في نهاية مرحلة عمل الطبيب متينة وصلبة لأنه يقوم بتعريض أجزاء الحشوة لضوء أزرق مخصص والذي يمنحها صلابة وقوة فورية
- يُفحص إطباق أسنانك على الحشوة الجديدة ويعدل الطبيب ارتفاع حشوة السن ليناسبك تماما ثم تلمع الحشوة التجميلية ويندمج مظهرها مع السن المعالج بشكل أكثر من رائع
الأكل بعد الحشوات التجميلية
- يجعلنا الانتظار بعد انتهاء جلسات طبيب الأسنان الشعور بالجوع، ولكن هل توجد خطورة بسبب الأكل بدون انتباه بعد حشو الأسنان
- بالطبع لأن معظم الحشوات التجميلية تكون في وضع حساس وتحتاج بعضاً من العناية لتتلائم داخل فمك وأسنانك
بعض النصائح نقدمها لك فيما يتعلق بتناول الطعام والشراب بعد العلاج بالحشوات التجميلية
- يقدم أطباء الأسنان دائماً التعليمات المناسبة التي تحدد تناولك للطعام بعد حصولك على العلاج بالحشوات، فعليك الالتزام بها لضمان ثبات ونجاح حشو السن أو الضرس
- نوع المادة المستخدمة في الحشو تحدد إلى قدر كبير المدة المناسبة حتى يسمح بتناول الأكل بعد حشو الأسنان المعالجة
- الحشوات العادية المعدنية وهي تأخذ وقتاً طويلاً لتتماسك في السن، وبالتالي يجب الانتظار مدة لا تقل عن 3 ساعات بعد حشو أسنانك بها وتحتاج 24 ساعة من عدم الضغط الزائد عليها حتى تتصلب بشكل كامل
- حشو أسنانك باستخدام مواد مركبة تجميلية وهي الحشوات المستخدمة بكثرة في الوقت الحالي فسرعان ما تتماسك بمجرد انتهاء الطبيب من تطبيقها في أسنانك
- بإمكانك تناول الطعام بعد حشو الأسنان بعد 2 – 3 ساعات تقريباً، وعليك الالتزام بتعليمات الطبيب لمعرفة الوقت المحدد للأكل بعد حشو الأسنان، لأنه يستطيع تحديد الوقت بناءً على نوع الحشو التجميلي المستخدم وعدد الحشوات التي حصلت عليها
بعض أنواع الأطعمة يجب الامتناع عنها في نفس يوم جلسات حشو الأسنان منها:
- الأطعمة الصلبة
- الحلويات وخاصةً اللصّاقة منها
- المشروبات الساخنة
- المشروبات المثلجة
هل تسقط الحشوات التجميلية؟
- تتمتع حشوات أسنانك بميزات عديدة ولكن عند إهمال الاعتناء بها أو أن تعرضها لظروف تفوق مقاومتها يمكن أن تتلف جزئياً أو كلياً
- في حال تلف الحشوة يكمن بمرور فترة قصيرة أن تتعرض للسقوط داخل فمك أثناء قيامك بتناول الطعام، وهذا ما قد يؤثر على سلامة سنك المحشو
- لا يمكن لحشوات الأسنان الدائمة أن تقع ما دمت محافظاً على نظافة أسنانك وسلامة الحشوات
- الأمر غير شائع إذا توجهت إلى طبيب الأسنان الاخصائي بقصد علاج سنك بالحشوات بشكل مناسب
تعرف على أهم أسباب سقوط حشوات أسنانك الدائمة:
- تجمع الجراثيم وبقايا الطعام حول حواف الحشوات الدائمة
- يساهم تجمع البكتيريا حول مكان وأطراف الحشو يسهم في إضعاف الحشوات، وسبب ذلك هو إهمال تنظيف الأسنان جيدًا بالفرشاة، مما يتسبب في نمو وتراكم البكتيريا في هذه المنطقة الحساسة.
- المعاناة من صرير الأسنان وحت أسنانك ببعضها، حتى في المبالغة بقوة تنظيفها بالفرشاة، كل ذلك يتسبب في تلف وسقوط الحشوات الدائمة بمرور الوقت
- الضغط المتكرر على مكان الحشوات الناتج عن مضغ الأطعمة القاسية كالثلج والقشور القاسية يمكن أن يتسبب في كسر حشوات أسنانك ما يؤدي لوقوعها حتماً
- تعرض الأسنان لصدمات وحوادث متعددة خلال ممارسة الرياضة أو غيرها والقيام ببعض العادات الخاطئة يتسبب بكسر في الأسنان المحشوة وتصدعها مؤدية لتخلخل الحشوات وسقوطها
- إهمال تنظيف الأسنان بشكل مناسب ودوري، يؤدي إلى تراكم مستمر للبقايا الطعامية وتكاثر البكتيريا حول الحشوات مما يسبب تأكل تلك الحواف وسقوط الحشوات
علامات ضرورة تبديل الحشوة التجميلية
- يمكنك الشعور في معظم الأحيان في حال حدوث تغير في حالة حشوات أسنانك، وهذا الأمر جيد ويجب أن يكون دافع حقيقي لمعرفة السبب ومراجعة طبيب الأسنان الخاص لحل المشكلة واستبدال الحشوات التالفة
تعرف على أبرز علامات تدلك على ضرورة استبدال حشوة السن:
- حدوث تشققات في الحشوة أو تآكلها
- حدوث إصابة السن بالتسوس تحت الحشوة
- الشعور بحساسية زائدة في السن للبارد والساخن والحلويات
- كسر وسقوط حشوة الأسنان
نذكر بأن إجراء فحص دوري للأسنان عند الطبيب يساهم في التأكد من سلامة حشوات الأسنان واكتشاف أي مشكلة مبكرًا وعلاجها
عمر الحشوات التجميلية مقارنة بالحشوات العادية
- تتميز الحشوات التجميلية بأن ليس لها تأثير سلبي على الأسنان واللثة أو الصحة العامة. تنظيف أسنانك بالفرشاة واستخدام الخيط بانتظام أفضل وسيلة في الحفاظ على صحة الفم والأسنان
- تبقى الحشوات التجميلية سليمة لسنوات عديدة طالما تم الاعتناء بها بشكل صحيح
- على الرغم من أنها تتمتع بخواص متينة بفضل مادة الحشو المحضرة بأحدث التقنيات، فهي لا تزال غير قوية كفاية مثل بنية الأسنان الطبيعية
لهذا السبب، يختلف عمر الحشوات التجميلية باختلاف العوامل، بعض هذه العوامل هي
- جودة المواد المستخدمة كمواد مالئة
- شكل وحجم الحشوة
- يمكن إدراجه على أنه رعاية أسنان المريض وعاداته الغذائية
- يتراوح عمر الحشوات المركبة من 5 – 15 عاماً بشكل وسطي ويمكن أن يزيد إذا تم المحافظة على نظافة الأسنان وحشواتها
- يتراوح عمر حشوات البورسلين قرابة 15 عاماً بشكل وسطي إذا تم المحافظة على نظافة الأسنان وحشواتها
- يتراوح عمر الحشوات الزجاجية المقواة 10 سنوات بشكل وسطي، وغالباً ترمى مع السن اللبنية عندما تسقط بنزول السن الدائمة تحتها
- يتراوح عمر حشوات الأسنان العادية المعدنية من 10 – 20 عاماً بشكل وسطي إذا تم المحافظة على نظافة الأسنان وحشواتها ولم تتسبب بأية مشكلة للأسنان
هل يتغير لون الحشوات التجميلية؟
- يمكن أن يتغير لون الحشوات التجميلية نتيجة استخدام مواد مثل القهوة والتدخين التي لها فعالية عالية في صبغ الأسنان
- لذلك إذا كان لديك حشوات تجميلية متعددة عليك الابتعاد عن المواد التي لها خاصية صبغ الأسنان، لأن التغير في لونها لا يمكن إرجاعه في معظم الحالات
- أول 48 ساعة بعد عملية الحشو هي الفترة الأكثر حساسية لتغير اللون والأهم من ذلك الابتعاد عن المواد ذات الصلة، والتخفيف من استهلاكها بشكل عام
تعليمات للاعتناء بالأسنان الحشوات التجميلية
- تهدف حشوة الأسنان إلى الحفاظ على سلامة أسنانك وذلك بعد علاج التسوس فيها
- يساهم فحص الأسنان بشكل دوري مرة كل 6 أشهر ضمن عيادة طب الأسنان في اكتشاف التسوس بمراحله المبكرة وتحقيق علاجه قبل أن يتغلغل في السن ويصل إلى الجذور والعصب
إن الكشف المبكر والعلاج الفوري للأسنان يحقق لك كل هذه الفوائد التالية:
- يحمي أسنانك من مخاطر تلف نسجها بالكامل
- يحمي أسنانك من وصول التسوس إلى قنوات الجذور وإصابة العصب بالنخر والالتهاب
- يحمي أسنانك المجاورة من انتقال التسوس إليها
- يحمي أسنانك من الوصول إلى مرحلة التعفن ويقيك من المعاناة مع آلام وأعراض تخرب السن
- نقدم لك بعض النصائح للمحافظة على سلامة حشوات أسنانك لأطول عمر ممكن
- الالتزام بتعليمات طبيبك الخاص حول كيفية الاعتناء بالحشوات التجميلية هو أفضل ما يمكنك فعله لمنع أي ضرر يمكن أن يصيب الحشوة
- يفضل تناول أطعمة سهلة المضغ في يوم حصولك على الحشوات التجميلية مثل الزبادي أو الشوربة، وهذا يفيد في ملاحظة أي ارتفاع زائد في حشوة أسنانك دون أن يتسبب تناول الطعام بكسر الحشوات
- تجنب تناول الأطعمة المثلجة والساخنة جداً معاً في نفس الوقت
- المواظبة على تنظيف الأسنان بشكل صحيح في كل صباح ومساء
- تجنب المضغ والضغط على الأسنان بطريقة عنيفة
- معالجة المشاكل كصرير وحت الأسنان وعدم إهمالها
من المهم زيارة طبيب الأسنان دوريًا للاطمئنان على صحة الفم واكتشاف أي مشكلات مبكرًا قبل أن تتفاقم لتحافظ على سلامة وجمال ابتسامتك الرائعة
د. عبير زنداقي
