- contentwriter
- 0 Comments
جدول المحتويات
- ما هو التقويم اللساني؟
- مزايا التقويم اللساني
- عيوب التقويم اللساني
- أنواع التقويم اللساني
- أهم الأشياء التي يجب عليك فعلها قبل تركيب التقويم اللساني
- خطوات تركيب تقويم الأسنان اللساني
- كيف تحافظ على التقويم اللساني؟
- ما هو الفرق بين تقويم الأسنان اللساني والتقويم الشفاف؟
- ما هي مدة العلاج باستخدام التقويم المخفي؟
الابتسامة الجميلة هدف يسعى له الكثير من الأشخاص، وتحقيقه ليس بالأمر الصعب دون الحاجة إلى استخدام الأسلاك المعدنية الظاهرة، تعرف على التقويم اللساني الذي يمنحك أسنان رائعة بشكل غير مرئي.
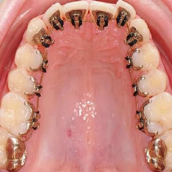
ما هو التقويم اللساني؟
يعد التقويم المخفي أو التقويم اللساني واحداً من أكثر أنواع تقويم الأسنان الثابت فعالية، يصنع من المعدن أو الذهب.
يشبه إلى حد كبير التقويم التقليدي، إلا أنه يركب من الجهة الداخلية للأسنان المواجهة للسان.
تصنع دواعم التقويم المخفي حسب حالة وطبيعة أسنان كل مريض وذلك لضمان الحصول على نتائج دقيقة.
كما أن التقويم المخفي بديلاً رائعاً عن التقويم العادي، حيث يمكن للأشخاص الحصول على نفس النتائج المبهرة دون المعاناة من شكل الأسلاك المعدنية غير المحببة.
مزايا التقويم اللساني
يتميز التقويم اللساني بميزاته الكثيرة، حيث يجمع بين النتائج الجيدة والمظهر الرائع، من مميزاته:
- يحسن من الجانب الجمالي للأسنان، لا يمكن رؤيته أبداً حتى عند الضحك.
- يعمل على تصحيح مشاكل الأسنان المعقدة التي لا يمكن لأنواع التقويم الشفافة إصلاحها، مثل دوران الأسنان وارتفاعها، أو سوء الإطباق.
- لديه تأثير أفضل على حركة الأسنان لأن دواعم التقويم تصنع لكل شخص حسب حالته.
- يسهل تنظيف سطح الأسنان الخارجي باستخدام الفرشاة والخيط التقليديين.
- لا يترك بقع داكنة مزعجة على الأسنان كما في حالة التقويم التقليدي.
عيوب التقويم اللساني
على الرغم من أن التقويم المخفي له الكثير من المزايا التي تجعل أي شخص يرغب في تركيبه، إلا أن هناك بعض الصعوبات التي تواجهك عند تركيب تقويم مخفي للأسنان.
من سلبيات هذا التقويم:
- سعر التقويم الداخلي أعلى من سعر التقويم التقليدي، لأنه يصنع خصيصاً لأسنان المريض.
- يحتاج وقتاً طويلاً عند تركيبه، ويحتاج إلى طبيب متمرس قادر على التعامل مع هذا التقويم.
- يسبب احتكاك الأقواس المعدنية تقرحات وتورم في اللثة واللسان.
- يسبب إزعاج وصعوبة في الأكل والنطق في الفترة الأولى من تركيبه.
- يستغرق مدة أطول في العلاج من التقويم التقليدي.
ما هي أنواع التقويم اللساني؟
هناك نوعان لأجهزة التقويم المخفي وهي: أجهزة الشق الأفقي وأجهزة الشق العلوي:
الشق الأفقي:
هو النوع الأكثر انتشاراً، ويعمل على معالجة مشكلة التورك الأمامي لأسنان المريض، وبالرغم من فوائد هذا النوع، إلا أنه لا يساعد في مشكلة الدورانات في الأسنان.
الشق العلوي:
يحتوي هذا النوع على أكثر من جهاز، ويتميز بقدرته على معالجة مشكلة دورانات الأسنان. ويعود تحديد نوع الجهاز إلى حالة المريض وطبيعة إصابته.
أهم الأشياء التي يجب عليك فعلها قبل تركيب التقويم اللساني
هناك العديد من الأشياء التي ينصح الأطباء بالقيام بها قبل اتخاذ قرار تركيب تقويم مخفي للأسنان، منها:
- من الضروري جداً القيام بجلسة معاينة شاملة لدى أخصائي التقويم لتحديد الحالة ونوع التقويم المناسب والفترة المتوقعة لانتهاء العلاج.
- معالجة كافة النخور والتجاويف في الأسنان قبل تركيب التقويم المخفي للوقاية من أي مضاعفات أثناء فترة العلاج.
- معالجة اللثة إذا أصيبت بالتهاب أثناء تركيب التقويم، للحفاظ على صحتها خلال الفترة العلاجية.
- معالجة الأسطح الداخلية للأسنان من أي شذوذ قبل بدء تركيب التقويم اللساني، للحصول على نتائج أفضل وأكثر فاعلية في العلاج.
خطوات تركيب تقويم الأسنان اللساني
يعمل التقويم اللساني بتطبيق ضغط مستمر على الأسنان تدريجياً لتحويلها إلى الوضع النهائي المطلوب، تشبه طريقة عمله التقويم التقليدي.
يتطلب تركيب تقويم مخفي عدة خطوات، وهي:
- يقوم الطبيب بفحص مكان تموضع الأسنان الحالي وكيفية نقلها للمكان الصحيح.
- أخذ طبعة أسنان المريض وإرسالها إلى مختبر خاص لإنشاء أقواس تقويم مخصصة له، وتستغرق عملية إنشاء الأقواس حوالي 6 أسابيع.
- ينظف الطبيب فم المريض ويضع مادة لاصقة على الأسنان.
- يثبت أخصائي التقويم أقواس التقويم على الجزء الخلفي من أسنان المريض.
كيف تحافظ على التقويم اللساني؟
من المهم جداً العناية بالأسنان خلال فترة وضع التقويم المخفي، للوقاية من التسوس ورائحة الفم الكريهة.
إليك بعض النصائح التي تساعدك على اجتياز فترة التقويم دون مضاعفات:
- تنظيف الأسنان بالفرشاة بشكل منتظم بعد كل وجبة لمدة دقيقتين على الأقل.
- استخدام معجون أسنان يحتوي على نسبة عالية من الفلوريد مع فرشاة ناعمة خاصة بالتقويم واستخدام خيط الأسنان غسول الفم الغني بالفلوريد بشكل يومي.
- غسل الفم بمحلول ملحي واستخدام شمع الأسنان في الأماكن التي تتعرض للتهيج.
- تنظيف الأسنان في عيادة متخصصة مرة كل ستة أشهر وزيارة الطبيب بشكل منتظم.
- الحد من تناول السكريات والحلويات والمشروبات الغازية والابتعاد عن الأطعمة القاسية.
ما هو الفرق بين تقويم الأسنان اللساني والتقويم الشفاف؟
إذا كنت تبحث عن طريقة لتقويم أسنانك وتفضل أن يكون التقويم غير مرئي، لديك عدة خيارات وهي التقويم اللساني والتقويم الشفاف (انفزلاين).
إليك الفرق بين التقويمين:
التقويم الثابت خلف الأسنان:
- التقويم الداخلي غير مرئي وغير قابل للإزالة.
- يرافق هذا التقويم لدغة بسيطة في النطق بسبب تهيج اللسان نتيجة الاحتكاك الفوري مع التقويم.
- صعب التنظيف بسبب الأسلاك المعدنية الداخلية.
- فترة علاجه أطول من التقويم الشفاف.
- سعر التقويم الداخلي أعلى من تقويم الأسنان العادي.
- يسبب آلام في اللثة واللسان في الفترة الأولى من تركيبه.
- يعالج التقويم المخفي الحالات المعقدة من اعوجاج الأسنان.
- يرافقه صعوبة في مضغ الطعام.
- يحتاج مراجعة الطبيب كل ستة أشهر على الأقل.
تقويم الانفزلاين:
- تقويم الانفزلاين غير مرئي وقابل للإزالة في أي وقت.
- آمن تماماً على اللثة والأسنان ولا يسبب صعوبة في النطق.
- سهل التنظيف، يمكن إزالته وتنظيف الأسنان بالفرشاة والمعجون.
- فترة العلاج قصيرة نسبياً تتراوح بين ستة أشهر حتى سنة ونصف.
- تكلفته عالية مقارنة بغيره من أنواع التقويم.
- يستخدم تقويم انفزلاين لعلاج حالات الأسنان غير المعقدة.
- يحتاج مراجعة دورية للطبيب لتبديل قالب الانفزلاين كل أسبوعين تقريباً.
ما هي مدة العلاج باستخدام التقويم المخفي؟
تختلف مدة العلاج باستخدام التقويم الثابت خلف الأسنان حسب الحالة وتعقيدها مثل الحالة الصحية العامة وشدة اعوجاج أو دوران الأسنان، وعمر المريض ومدى التزامه بتعليمات الطبيب.
بشكل عام تستغرق فترة العلاج بين 12 إلى 36 شهراً، ويمكن للطبيب المختص تحديد الوقت اللازم للعلاج خلال الزيارة الأولى
تعد حلول اعوجاج الأسنان كثيرة وفعّالة في أغلب الوقت، ليس عليك سوى اختيار الطبيب الذي يساعدك على إيجاد الخيار الأفضل لحالة أسنانك، تواصل معنا للتعرف على الحل الأمثل لإظهار ابتسامتك الرائعة.
د. امير زهراوي
